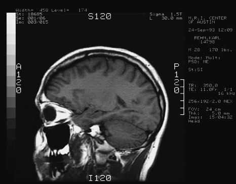
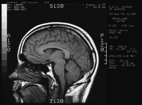
Check My Head

Here are 4 views taken from the MRI of my head.





Copyright 1995-97, Austin Internet Marketing